

-
親身に寄り添う
担当医制
-
インプラント
専用手術室
完備
-
明瞭会計
10年保証
名古屋歯科 理事長/院長 平井健人
インプラント治療費
1本
25〜45
(税込) 万円
CT撮影費やメンテナンス費、保証費など一切不要。
お支払いにはデンタルローンもご利用いただけます。
名古屋歯科CM放送中!
インプラントの
セカンドオピニオンも
お気軽にどうぞ。
インプラントのセカンドオピニオンなら名古屋歯科にお任せください。口頭の説明だけでは分かりづらい部分や不安な部分も、歯科医師が症例実績などをお見せしながら丁寧にご説明いたします。
また、当院では骨造成などの難症例にも自信があります。インプラントはできないとあきらめていた患者様も、当院までぜひ一度ご相談ください。
ご自身の歯について
こんなお悩みありませんか?
- 虫歯を放置してしまい、歯を抜くことになってしまった。
- 入れ歯生活を脱却したい。
- 歯周病で歯がボロボロでしっかり噛めない。
- 歯がないところがあり、人目が気になる。
- インプラントの費用について知りたい。
- インプラントにしたいが、手術が痛いと聞いて不安。
- インプラントを治療はできないとあきらめている。
- 治療していたが中断してしまったので、今後の相談をしたい。
名古屋歯科に
ご相談ください!
インプラント無料相談会では
こんなお悩みを
無料で医師に相談できます!
私たち医師が
丁寧にお応えします。
なんでもお気軽に
ご相談ください。
名古屋歯科の
インプラント無料相談会の特徴
01
専門の医師に個別で
相談ができます。
02
CT撮影も無料。
正確な診断が可能です。
03
総額費用を
無料で見積り。
費用の相談もできます。
04
相談会でご決断は
不要です。
ご自宅でじっくり
ご検討ください。
無料相談会の流れ [ 所要時間:30分〜60分程度 ]
STEP1
ご来院
まずはご来院ください。時間内ならいつでも相談可能です。ご予約なしでもご相談いただけますがお待ちいただく場合がございますので、事前予約をおすすめしております。
STEP2
CT撮影
受付で予診票をご記入後、診断前に最先端歯科用CTでレントゲン撮影を行います。インプラント相談会のCT撮影は完全無料です。
STEP3
治療について
医師からご説明
撮影したCT画像を見ながら、治療内容と費用についてご納得いただけるまで丁寧にご説明いたします。気になることがあれば、この機会にどんどんご質問ください。
STEP4
インプラントの
説明書のお渡し
「はじめてインプラント治療を受ける方へ」という説明書をお受け取りになり終了です。相談会で無理にインプラントをするご決断をいただく必要はございません。ご自宅でじっくりご検討ください。
費用や治療に関する不安をお持ちの方へ
まずはお気軽に
無料相談会
へお越しください!
[ 所要時間:30分〜60分程度 ]
- 総額費用の
無料見積 - CT撮影で
正確な診断 - 歯科医に
直接
個別相談
ご希望の医院を選んで
ご予約ください
以下の治療をご希望の方は
ぜひ瑞穂本院にお越しください
-
全身麻酔での治療を希望している方
全身麻酔施設を保有、歯科麻酔専門医も2名常駐しており、安全を担保しています。
-
できるだけ歯を残す治療がしたい方
手術用高精度顕微鏡を用いた特別な技術で、通常の歯科治療では保存が困難な歯を残す治療も行っています。
| 診療時間 | 月 | 火 | 水 | 木 | 金 | 土 | 日 | 祝 |
|---|---|---|---|---|---|---|---|---|
| 9:00 -13:00 | 13:30まで | |||||||
| 14:30 -18:30 | 15:00 | 〜17:00 |
名古屋歯科の
インプラントが
選ばれる
7
つの理由
01
インプラント治療年間1000本以上
信頼の技術と実績
(2023年度、2024年度実績)
当院の医師は、2023年度1361本、2024年度1524本のインプラント症例の治療実績があります。難症例も含めて多くの実績を積んだドクターがインプラント治療を行いますので、安心してお任せください。
02
様々な症例に対応できる、
インプラント専用機器設備を完備
様々な症例に対応できるようインプラント専用の機器を揃え、オールオン治療などの高度な施術や、骨造成術が必要な症例などにも対応できる体制を整えています。
大学病院クラスの感染症対策を行える滅菌設備と最新型CTなど、世界レベルの治療をお届けします。
03
患者様の立場に立ち
医師がわかりやすく説明します。
当院では「インフォームド・コンセント」を取り入れています。治療方法・メリット・デメリット・保証・費用などについて患者様がご納得できるまで説明し、同意をいただいた上で治療を進めます。当院ではメリットばかり主張することはいたしませんので、気になることは何でも聞いていただければと思います。
04
世界・アジアシェアNo.1の
ストローマン・オステムを採用
世界的にも安全性と実績が証明されているインプラントのみを採用。45年以上の歴史と定評のある世界シェア1位のインプラントメーカーであるスイスの「ストローマンインプラント」と、アジア環太平洋地域でシェア1位・世界シェア5位となったインプラントメーカー「オステムインプラント」を使用しております。
05
トータル費用が
わかる明瞭会計
06
安心の10年保証
07
術後の定期検査も
通いやすい
駅近の立地
治療の流れ
インプラント治療は最短3ヶ月
| 1 | カウンセリング (インプラント相談) |
|---|---|
| 2 | 検査・計画〜ご契約 |
| 3 | 一時処置 インプラント埋入 |
| 4 | 抜糸・仮歯調整 (処置後2週) |
| 5 | 待機期間 |
| 6 | 二次処置 アバットメント取付 |
| 7 | 型取り |
| 8 | 完成 |
| 9 | メンテナンス・定期検査 |
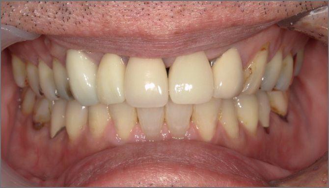
症例紹介
-
症例1
50代 男性
-
インプラント埋入本数
上1本(ストローマンインプラント)
-
上部構造
セラミック
-
治療費用
45万円
-
治療期間
3ヶ月程
-
担当医
長谷川
-
-
症例2
70代 男性
-
インプラント埋入本数
下2本(ストローマンインプラント)
-
上部構造
チタン・プラスチック
-
治療費用
73万円
-
治療期間
3ヶ月程
-
担当医
中川
-
-
症例3
50代 男性
-
インプラント埋入本数
上3本下1本(ストローマンインプラント)
-
上部構造
ジルコニア
-
治療費用
あり
-
治療期間
178万円
-
治療期間
4ヶ月程
-
担当医
松尾
-
歯が抜けた場合、 3つの選択肢 があります。
歯を失った場合、インプラント以外にも「ブリッジ」や「入れ歯」といった治療法もあります。
それぞれと比較した上でインプラント治療をご検討ください。
| 永続性が ある |
短期間で 治療できる |
他の歯への 影響が少ない |
食事が しやすい |
違和感が 少ない |
お手入れが しやすい |
費用が安い | |
|---|---|---|---|---|---|---|---|
インプラント |
保険適用外 |
||||||
ブリッジ |
保険適用可 |
||||||
入れ歯 |
保険適用可 |
よくあるご質問
親にインプラントを勧めたいのですが、本人以外でも相談に行くことはできますか?
ご本人様以外のご相談も可能です。可能であればご本人様もご一緒にご来院いただけると、実際にご本人様の状態を診させていただき、より詳しいお話をさせていただくことができます。
検査したその日に契約しないといけませんか?
すぐに契約する必要はありません。費用のことなどもございますので、お家でご相談いただいてから後日ご契約いただくことも可能です。
痛くないか不安です…。
みなさん当日になると怖くて眠れなかったとおっしゃいますが、施術中の痛みはほとんどありません。麻酔が切れてくるとじーんとした痛みが出てきます。数日分の痛み止めのお薬をお渡ししますので、そちらを服用ください。
インプラントできない人はどういう人ですか?
特に骨粗鬆症や年齢で骨密度が低くなっている方の場合は注意が必要です。インプラント治療をする前にはしっかりと骨の状態を調べる必要があります。インプラント治療に耐えられる骨であるかどうかの検査が必要になることもあります。当院では、最新のCTを用いて検査を行うため、安心して治療を受けることができます。
歯周病でもインプラントはできますか?
歯周病で歯を失い、インプラントを希望する患者様は多くいます。しかし、歯周病がある場合、インプラント治療はできません。歯周病治療をしっかり行わなければ、インプラントはできないのです。
オールオン治療は可能ですか?
はい、可能です。当院ではオールオン4、オールオン6での施術をご案内しております。詳しくは無料相談会にてご相談ください。
オールオン4とオールオン6の違いは何ですか?
埋め込む土台インプラントの本数が異なります。本数の多いオールオン6の方が安定感や永続性も優れているため、当院ではオールオン6での治療を推奨しております。
費用や治療に関する不安をお持ちの方へ
まずはお気軽に
無料相談会
へお越しください!
[ 所要時間:30分〜60分程度 ]
- 総額費用の
無料見積 - CT撮影で
正確な診断 - 歯科医に
直接
個別相談
ご希望の医院を選んで
ご予約ください
以下の治療をご希望の方は
ぜひ瑞穂本院にお越しください
-
全身麻酔での治療を希望している方
全身麻酔施設を保有、歯科麻酔専門医も2名常駐しており、安全を担保しています。
-
できるだけ歯を残す治療がしたい方
手術用高精度顕微鏡を用いた特別な技術で、通常の歯科治療では保存が困難な歯を残す治療も行っています。
| 診療時間 | 月 | 火 | 水 | 木 | 金 | 土 | 日 | 祝 |
|---|---|---|---|---|---|---|---|---|
| 9:00 -13:00 | 13:30まで | |||||||
| 14:30 -18:30 | 15:00 | 〜17:00 |
治療費と保証について
当院のお見積もりは、
治療費の総額表示(税込)です。
当院は治療内容だけでなく金額にもご納得いただけるよう、最初に治療計画書(お見積書)をお渡ししています。
これ以外のCT撮影費やメンテナンス費、保証費などは一切不要です。インプラント周囲炎を防ぐための検診費用も含み、通院ごとにかかる費用もございません。
インプラント治療費
1本
25〜45
(税込) 万円
当院のインプラント治療費は、インプラントの使用本数と上部構造(上に乗せる被せ物)の材質、ダミー(インプラントと直接つないでいない歯)の使用本数によって決まります。
インプラントの
使用本数
※メーカーと
上部構造によって
費用が異なります
ダミーの
使用本数
※素材によって
費用が異なります
歯を1本失った場合の治療例
インプラント1本分の費用がかかります。ダミーは使用しません。
※価格は全て税込表記です
[ストローマン]
| チタン・プラスチック |
インプラント 35万円×1本35万円 |
|---|---|
| ジルコニア |
インプラント 40万円×1本40万円 |
| セラミック |
インプラント 45万円×1本45万円 |
[オステム]
| チタン・プラスチック |
インプラント 25万円×1本25万円 |
|---|---|
| ジルコニア |
インプラント 30万円×1本30万円 |
費用を詳しく見る
歯を3本失った場合の治療例
インプラントとダミー使用本数分の費用がかかります。
※価格は全て税込表記です
[ストローマン]
| チタン・プラスチック |
インプラント 35万円×2本 ダミー 10万円×1本 合計80万円 |
|---|---|
| ジルコニア |
インプラント 40万円×2本 ダミー 10万円×1本 合計90万円 |
| セラミック |
インプラント 45万円×2本 ダミー 10万円×1本 合計100万円 |
[オステム]
| チタン・プラスチック |
インプラント 25万円×2本 ダミー 10万円×1本 合計60万円 |
|---|---|
| ジルコニア |
インプラント 30万円×2本 ダミー 10万円×1本 合計70万円 |
費用を詳しく見る
歯を12本失った場合の治療例
オールオン6での施術をご案内させていただいております。
※価格は全て税込表記です
[ストローマン]
| チタン・プラスチック |
インプラント 35万円×6本 ダミー 10万円×6本 合計270万円 |
|---|---|
| ジルコニア |
インプラント 40万円×6本 ダミー 10万円×6本 合計300万円 |
| セラミック |
インプラント 45万円×6本 ダミー 10万円×6本 合計330万円 |
[オステム]
| チタン・プラスチック |
インプラント 25万円×6本 ダミー 10万円×6本 合計210万円 |
|---|---|
| ジルコニア |
インプラント 30万円×6本 ダミー 10万円×6本 合計240万円 |
費用を詳しく見る
[ インプラント ]
※価格は全て税込表記です
|
ストローマン |
オステム |
|
| チタン・ プラスチック |
35万円/本 | 25万円/本 |
| ハイブリッド セラミック |
40万円/本 | 30万円/本 |
| セラミック | 45万円/本 | |
| 保証期間 | 10年 | 5年 |
[ ダミー ]
※価格は全て税込表記です
| 素材 | 料金 |
|---|---|
| チタン・プラスチック | 10万円/本 |
| ハイブリッドセラミック | 10万円/本 |
| セラミック | 10万円/本 |
お支払い方法
-
現金
月々の負担が少ない
デンタルローンもご利用可能です
費用の一括払いが不安という方に向けた、月々わずかなご負担で最適な治療を受けられるデンタルローンをご用意しています。デンタルローンでのお支払いでも医療費控除の対象となりますので、安心してご利用ください。
※ご利用には審査が必要です。
費用例
- インプラント
1本 25万円 - 支払い回数
60回(5年) - の場合…
- インプラント
6本 168万円 - 支払い回数
60回(5年) - の場合…
※使用するインプラントのメーカーなどにより、費用は変動します。一例としてご参照ください。
[ご利用可能なデンタルローン]
保証・アフターサポート
安心の10年間無料保証
当院ではインプラントに関する全ての保証がフィクスチャー10年間、上部構造5年間無料保証です。「欠ける」「割れる」「外れる」などインプラントに関するトラブルを補償しておりますので安心して処置を受けていただけます。
※変色は補償範囲外となります。
6ヶ月に一度の
無料定期検査
ちまたで起きているインプラントのトラブルは定期検査を怠った結果であると言っても過言ではありません。当院では6ヶ月毎、年2回の無料検診を行なっております。(推奨頻度は3ヶ月に1回です。)少なくとも1年に1回の検診が10年保証の条件となっておりますので、必ず受診をお願いいたします。
(フィクスチャー10年保証、上部構造5年保証)
※オステムインプラントの保証はフィクスチャー5年保証、上部構造5年保証となります。
※検診時に、歯石除去、茶渋除去を行なった場合は有料となります。ご自身の残っている歯がある場合は保険対応、上下すべてインプラントの場合は5,000円です。
医療費控除について
インプラント治療は保険の適用にはなりませんが、医療費控除の対象になります。申請することで医療費の一部が戻ってくる場合がありますので、ぜひ医療費控除をご活用ください。
費用や治療に関する不安をお持ちの方へ
まずはお気軽に
無料相談会
へお越しください!
[ 所要時間:30分〜60分程度 ]
- 総額費用の
無料見積 - CT撮影で
正確な診断 - 歯科医に
直接
個別相談
ご希望の医院を選んで
ご予約ください
以下の治療をご希望の方は
ぜひ瑞穂本院にお越しください
-
全身麻酔での治療を希望している方
全身麻酔施設を保有、歯科麻酔専門医も2名常駐しており、安全を担保しています。
-
できるだけ歯を残す治療がしたい方
手術用高精度顕微鏡を用いた特別な技術で、通常の歯科治療では保存が困難な歯を残す治療も行っています。
| 診療時間 | 月 | 火 | 水 | 木 | 金 | 土 | 日 | 祝 |
|---|---|---|---|---|---|---|---|---|
| 9:00 -13:00 | 13:30まで | |||||||
| 14:30 -18:30 | 15:00 | 〜17:00 |
クリニックについて
[ 理事長あいさつ ]
一人ひとりのお悩みに合わせた
最適な治療で、
ご満足いただける歯科医療を。
私たち名古屋歯科は、今までにない患者様の満足度の高い歯科医院を目指しています。
予約時間に行っても待たされる、急に歯が痛くなっても予約なしだと診てもらえない、土日は休みで平日しか通えない等、患者様の目線で見た歯医者さんにありがちな問題を解決することはできないか、常々考えてきました。
健康な歯を1本でも多く残し、毎日を笑顔で過ごしていただくためにも、患者様一人ひとりのお悩みに合わせた最適な治療が行えるよう、日々新しい技術を取り入れながら診療を行っています。
地域の皆様に安心してご利用いただき、ご満足いただけるよう、スタッフ一同これからも努力してまいります。
医療法人ひらい会
名古屋歯科 理事長/本院 院長
平井 健人
[ 医師紹介 ]
名古屋駅院 院長
松尾 俊平
Shumpei Matsuo
朝日大学 歯学部卒業
瑞穂本院 院長代理/歯科医師・歯科麻酔科医
石田 義幸
Yoshiyuki Ishida
瑞穂本院 副院長/歯科医師
清水 美穂
Miho Shimizu
瑞穂本院 副院長/歯科医師
長谷川 慶太
Keita Hasegawa
歯科医師
内田 朋寛
Tomohiro Uchida
歯科医師
野村 宝弘
Takahiro Nomura
麻酔科医/歯科医師
岩田 英道
Hidemiti Iwata
歯科医師
笠島 紀明
toshiaki kasajima
歯科医師
中川 摩耶
Maya Nakagawa
歯科医師
常盤 浩之助
tokiwa konosuke
歯科医師
五藤 義之
Yoshiyuki Goto
歯科医師
堀部 桃子
Momoko Horibe
非常勤麻酔科医
佐橋 倫恵
Michie Sahashi
[ アクセス ]
名古屋歯科 本院
| 所在地 |
〒467-0016 |
|---|---|
| アクセス |
名古屋市営地下鉄桜通線 |
| 駐車場情報 |
16台以上 提携駐車場有
|
| 診療時間 | 月 | 火 | 水 | 木 | 金 | 土 | 日 | 祝 |
|---|---|---|---|---|---|---|---|---|
| 9:00 -13:00 | 13:30まで | |||||||
| 14:30 -18:30 | 15:00 | 〜17:00 |
名古屋歯科 名古屋駅院
| 所在地 |
〒450-0002 |
|---|---|
| アクセス・駐車場情報 |
公共交通機関でお越しの場合 JR「名古屋駅」桜通口より徒歩6分 お車でお越しの場合 提携駐車場有 ※「松陽パーキング」ご利用時に限ります。 |
| 診療時間 | 月 | 火 | 水 | 木 | 金 | 土 | 日 | 祝 |
|---|---|---|---|---|---|---|---|---|
| 9:00 -13:00 | 13:30まで | |||||||
| 14:30 -18:30 | 15:00 | 〜17:00 |
費用や治療に関する不安をお持ちの方へ
まずはお気軽に
無料相談会
へお越しください!
[ 所要時間:30分〜60分程度 ]
- 総額費用の
無料見積 - CT撮影で
正確な診断 - 歯科医に
直接
個別相談
ご希望の医院を選んで
ご予約ください
以下の治療をご希望の方は
ぜひ瑞穂本院にお越しください
-
全身麻酔での治療を希望している方
全身麻酔施設を保有、歯科麻酔専門医も2名常駐しており、安全を担保しています。
-
できるだけ歯を残す治療がしたい方
手術用高精度顕微鏡を用いた特別な技術で、通常の歯科治療では保存が困難な歯を残す治療も行っています。
| 診療時間 | 月 | 火 | 水 | 木 | 金 | 土 | 日 | 祝 |
|---|---|---|---|---|---|---|---|---|
| 9:00 -13:00 | 13:30まで | |||||||
| 14:30 -18:30 | 15:00 | 〜17:00 |